Uji Skrining untuk Virus Newcastle Disease, Avian Influenza dan Infectious Bronchitis Menggunakan Pendekatan Uji Multipleks Reverse Transcriptase Polymerase Chain Reaction
Hartawan R, Dharmayanti NLPI
Balai Besar Penelitian Veteriner, Jl RE Martadinata 30 Bogor 16114
E-mail: rjoss.dvm@gmail.com
(Diterima 9 Mei 2013 ; disetujui 27 Agustus 2013)
ABSTRACT
Hartawan R and Dharmayanti NLPI. 2013. Screening test for detection of Newcastle Disease, Avian Influenza and Infectious Bronchitis viruses using multiplex reverse transcriptase polymerase chain reaction approach. JITV 18(3):159-166. DOI: 10.14334/jitv.v18i3.317.
Numerous viral pathogens are circulated in the environment of commercial chicken farms that causing the difficulty in the confirmation of diagnosis. A breakthrough on the diagnosis technique is required in order to deal with multiple viral infections. Ideally, the approach should have not only high accuracy but also economical and straightforward. The objective of this research is to develop a rapid multiplex reverse transcriptase polymerase chain reaction(mRT-PCR) diagnostic method for three common infectious viral diseases in poultry, Newcastle Disease (ND), Avian Influenza (AI) subtype H5N1 and Infectious Bronchitis (IB). This study was successful in developing and optimizing the mRT-PCR for these three pathogens in a single reaction test. Testing 67 field samples from Sukabumi district revealed the presence of several targeted viruses.
Key Words: Screening Test, Multiplex RT-PCR, Newcastle Disease, Avian Influenza, Infectious Bronchitis
ABSTRAK
Hartawan R dan Dharmayanti NLPI. 2013. Uji skrining untuk virus Newcastle Disease, Avian Influenza dan Infectious Bronchitis menggunakan pendekatan uji multipleks reverse transcriptase polymerase chain reaction. JITV 18(3):159-166. DOI: 10.14334/jitv.v18i3.317.
Berbagai macam virus patogen bersirkulasi di peternakan ayam komersial sehingga menyebabkan kesulitan peneguhan diagnosis suatu penyakit viral pada kondisi lapangan. Untuk itu diperlukan suatu terobosan teknologi diagnosis yang tidak hanya mampu mendeteksi beberapa virus sekaligus dengan keakuratan yang tinggi namun juga harus bersifat ekonomis dan mudah untuk sditerapkan. Penelitian ini bertujuan untuk mengembangkan teknik diagnostik cepat untuk tiga virus penting yang sering menyerang peternakan ayam komersial yaitu Newcastle Disease (ND), Avian Influenza (AI) subtipe H5N1 dan Infectious Bronchitis (IB) dengan menggunakan pendekatan uji multipleks reverse transcriptase polymerase chain reaction (mRT-PCR). Hasil penelitian menunjukkan bahwa uji RT-PCR untuk ketiga virus tersebut berhasil dikombinasikan menjadi satu platform uji multipleks yang mampu mendeteksi ketiga macam virus tersebut sekaligus secara bersamaan. Aplikasi uji pada 67 sampel lapangan asal kabupaten Sukabumi mampu mendeteksi keberadaan beberapa virus yang ditargetkan.
Kata Kunci: Uji Screening, Multipleks RT-PCR, Newcastle Disease, Avian Influenza, Infectious Bronchitis
PENDAHULUAN
Usaha peternakan ayam komersial di Indonesia telah mencapai kemajuan yang signifikan, namun keberhasilan ini diiringi dengan bermunculannya berbagai macam penyakit yang mengancam produktivitas yang telah dicapai (Tarmudji 2005). Salah satu patogen yang menjadi perhatian adalah kelompok virus yang berpotensi menyerang industri perunggasan dengan dampak ekonomi yang besar (Market al. 2008). Oleh sebab itu, diperlukan manajemen kesehatan unggas terpadu yang meliputi pencegahan penyakit, vaksinasi, biosekuriti, diagnosis dan penanggulangan penyakit. Teknologi peneguhan diagnosis penyakit yang memadai merupakan kunci penting dalam mempertahankan kelangsungan industri perunggasan (Morrow 2008).
Banyaknya jenis virus yang berpotensi menyerang peternakan komersial menyebabkan kesulitan peneguhan diagnosa penyakit karena beberapa penyakit memiliki kemiripan gejala klinis (Morrow 2008). Oleh karena itu, suatu terobosan dalam teknologi diagnosis diperlukan untuk menunjang manajemen kesehatan unggas di lapangan. Teknologi diagnosis yang dikembangkan selain harus bersifat ekonomis juga memiliki tingkat keakuratan yang baik. Perangkat diagnostik PCR merupakan metode yang menjadi pilihan karena kecepatan dan keakuratannya yang tinggi dalam mengidentifikasi suatu organisme hingga tingkat molekuler (Viljoenet al. 2005).
Penelitian ini bertujuan untuk mengembangkan teknik diagnostik cepat dengan platform multipleks untuk tiga virus penting yang sering menyerang peternakan komersial yaitu ND, AI dan IB. Penyakit ND disebabkan oleh Avulavirus dari famili Paramyxoviridae (Alexander dan Jones 2008). Infeksi virus ND menyebabkan gejala beragam dengan derajat keparahan yang berbeda-beda mulai dari infeksi subklinis, infeksi ringan, penurunan produksi, gangguan pernafasan dan syaraf hingga kematian tergantung pada kondisi induk semang dan patogenitas strain yang menyerang. Panzootic ND telah menyebar ke berbagai wilayah yang menyebabkan kerugian ekonomi yang sangat besar. Sementara itu, penyakit AI subtipe H5N1 mulai mengancam peternakan unggas di Indonesia semenjak tahun 2003 hingga saat ini (Damayantiet al. 2004a, 2004b; Wiyonoet al. 2004). Penyakit HPAI subtipe H5N1 disebabkan virus Influenza A dari famili Orthomyxoviridae (Suarez 2008). Umumnya penyakit HPAI menyebabkan kematian unggas yang terserang dengan gejala pendarahan pada organ, gangguan pernafasan dan syaraf (Swayne dan Patin-Jackwood 2008). Namun penerapan program vaksinasi yang ketat menyebabkan infeksi subklinis mungkin saja terjadi (Dharmayanti 2005). Perhatian untuk HPAI bukan semata pada dampak ekonomi saja tetapi juga ancaman zoonosisnya terhadap kesehatan masyarakat (Webster 2002; McLeod 2008). Penyakit IB merupakan perhatian utama pada peternakan layer maupun breeding meskipun dampaknya pada peternakan broiler tidak bisa diabaikan (Van den Berg 2008). Penyakit ini disebabkan oleh Coronavirus dari famili Coronoviridae (Van den Berg 2008). Meskipun target organ pada awal infeksi adalah saluran pernafasan, namun dampak yang lebih besar disebabkan oleh gangguan produksi telur. Ketiga jenis virus tersebut tergolong dalam satu grup yang sama yaitu kelompok virus RNA walaupun materi genetik setiap virus tersebut sangat berbeda. Dengan pemilihan marker gen dan ukuran amplifikasi yang tepat, maka metode deteksi dengan platform mRT-PCR untuk ketiga jenis virus tersebut kemungkinan besar dapat dilakukan secara sekaligus.
MATERI DAN METODE
Virus standar dan sampel lapangan
Virus standard yang dipergunakan sebagai kontrol positif dalam tahapan optimasi uji mRT-PCR berasal dari isolat koleksi laboratorium Virologi BBalitvet dan strain vaksin dari sumber komersial. Kontrol positif untuk virus ND digunakan isolat ITA dan RIVS. Sementara itu, untuk virus AI subtipe H5N1 digunakan isolat A/Ck/WestJava/PWT-WIJ/2006 dan A/Ck/WestJava/KRW54/2012. Untuk virus IB digunakan isolat PTS3 yang merupakan koleksi BBalitvet dan vaksin H120 strain Massachusett.
Sampel lapangan (swab kloaka dan organ) yang diperlukan untuk menguji protokol mRT-PCR dikoleksi dari beberapa peternakan komersial di Kabupaten Sukabumi pada bulan Maret 2012 yang meliputi layer, broiler maupun breeding ayam kampung. Pengambilan sampel tersebut dilakukan dengan koordinasi dengan dinas peternakan setempat. Sampel ditempatkan pada tabung berisi media Dubbleco Modified Eagle Medium (Invitrogen™) dengan penambahan antibiotik dan antifungi. Sampel dijaga pada suhu 4oC dan dibawa ke laboratorium virologi BBalitvet untuk disimpan pada
-20oC sampai analisis lebih lanjut.
Set primer untuk virus ND, AI dan IB
Primer spesifik untuk uji RT-PCR dalam mendeteksi virus ND, AI dan IB ditentukan berdasarkan marker gen yang akan diamplifikasi sesuai dengan beberapa penelitian terdahulu (Stäuberet al. 1995; Jackwoodet al. 1997; Gohmet al. 2000; Leeet al. 2000; Leeet al. 2001; Dharmayantiet al. 2004; Meiret al. 2010). Target gen yang diamplifikasi untuk virus ND, AI dan IB berturut-turut adalah gen fusion (F), hemagglutinin (H5) dan spike 1 (S1). Produk amplifikasi untuk setiap target dipilih pada ukuran base pair (bp) yang berbeda-beda sehingga dapat diteruskan untuk platform multipleks. Set primer yang dipergunakan dalam penelitian ini dapat dilihat pada Tabel 1. Primer-primer tersebut disintesis di AITbiotech PTE LTD, Singapura.
Isolasi materi genetik untuk kelompok virus RNA
Isolasi RNA baik untuk virus standard maupun sampel lapangan dilakukan dengan menggunakan kit komersial RNeasy Mini Kit (Qiagen) atau QIAamp® Viral Mini Kit (Qiagen) sesuai dengan prosedur yang didapatkan dari penyedia kit. Hasil ekstraksi RNA kemudian disimpan pada suhu -20oC sampai analisis lebih lanjut.
Optimasi uji RT-PCR individual untuk virus ND, AI dan IB
Tahapan awal pengembangan mRT-PCR adalah optimasi uji RT-PCR untuk masing-masing virus secara secara terpisah menggunakan virus standard yang tersedia. Amplifikasi gen harus dipastikan pada ukuran yang sesuai dengan target.
Tabel 1. Set sekuen oligoprimer yang dipergunakan dalam penelitian
Jenis virus |
Gen |
Primer |
Sekuen (5'-3') |
Ukuran amplikon |
Pustaka |
ND |
F |
NCD3F |
GTCAACATATACACCTCATC |
309 bp |
Stäuberet al. (1995) |
NCD4R |
GGAGGATGTTGGAGCATTT |
||||
AI |
H5 |
H5-155F |
ACACATGCYCARGACATACT |
545 bp |
Leeet al. (2001) |
H5-699R |
CTYTGRTTYAGTGTTGATGT |
||||
IB |
S1 |
NewS1OLIGO5 |
TGAAAACTGAACAAAAGAC |
1700 bp |
Jackwoodet al. (1997); Leeet al. (2001) |
Degenerate3 |
CCATAAGTAACATAAGGRCRA |
Amplifikasi dilakukan pada Mesin Thermal Cycler AB9700 atau AB9800 Fast menggunakan Superscript® III One Step RT-PCR System with Platinum® Taq DNA Polymerase (Invitrogen™). Untuk setiap reaksi sebanyak 25 μl mengandung 2X reaction mix sebanyak 12,5 μl; 5 mM MgSO4 sebanyak 1 μl; masing-masing primer forward dan reverse (20 μM) sebanyak 1 μl; SuperScript® III RT/Platinum® taq mix sebanyak 1 μl dan templat RNA sebanyak 6,5 μl.
Reaksi RT-PCR untuk amplifikasi semua target dilakukan pada profil temperatur yang sama. Proses diawali dengan reverse transcriptase pada suhu 45oC selama 45 menit dilanjutkan dengan inaktivasi enzim pada suhu 92oC selama 2 menit. Amplifikasi gen dilakukan sebanyak 40 siklus yang terdiri atas denaturation (92oC, 30 detik), annealing (50oC, 90 detik) dan elongation (68oC, 2 menit). Final extention dilakukan pada suhu 68oC selama 5 menit. Visualisasi hasil dilakukan dengan elektroforesis (100 volts, 30 menit) larutan Tris Boric EDTA (TBE) pada gel agarose 2% yang mengandung ethidium bromida. Ladder DNA 100 bp (Invitrogen™) digunakan sebagai penanda ukuran fragmen gen yang telah diamplifikasi.
Optimasi uji mRT-PCR untuk virus ND, AI dan IB
Platform mRT-PCR dilakukan dengan mengkombinasikan 3 uji RT-PCR pada suatu reaksi secara bersamaan. Uji mRT-PCR dilakukan dengan menggunakan SuperScript® III One Step RT-PCR System with Platinum® Taq DNA Polymerase (Invitrogen™). Penyesuaian volume komposisi reagent, primer dan template RNA dapat dilihat pada Tabel 2. Profil temperatur platform multipleks juga sama dengan tahapan sebelumnya. Diharapkan differensiasi target gen untuk masing-masing virus dapat dibedakan dengan jelas berdasarkan ukuran fragmen gen yang diamplifikasi.
Aplikasi uji mRT-PCR pada sampel lapangan
Tahapan terakhir adalah aplikasi uji mRT-PCR untuk virus ND, AI dan IB pada 67 sampel lapangan (55 swab kloaka dan 12 organ) yang dikoleksi dari berbagai peternakan ayam komersial dari Kabupaten Sukabumi. Kegiatan ini penting untuk dilakukan untuk mengevaluasi efektivitas perangkat diagnosis mRT-PCR terhadap kondisi yang sebenarnya ada di lapangan
Tabel 2. Komposisi reagent pada optimasi uji mRT-PCR untuk virus ND, AI dan IB menggunakan antigen virus standard
No. |
Komponen reagent |
Volume |
||
1 |
2X Reaction Mix |
12.5 μl |
||
2 |
5 mM MgSO4 |
1 μl |
||
3 |
Primer NCD3F (20 μM) |
1 μl |
||
4 |
Primer NCD4R (20 μM) |
1 μl |
||
5 |
Primer H5-155F (20 μM) |
1 μl |
||
6 |
Primer H5-699R (20 μM) |
1 μl |
||
7 |
Primer NewS1OLIGO5 (20 μM) |
1 μl |
||
8 |
Primer Degenerate3 (20 μM) |
1 μl |
||
11 |
Superscript III RT/Platinum Taq Mix |
1 μl |
||
12 |
Autoclaved distilled water |
- |
||
13 |
Templat RNA |
1 Jenis virus standard |
@4,5 μl |
|
2 Jenis virus standard |
@2,25 μl |
|||
3 Jenis virus standard |
@1,5 μl |
|||
Total volume |
25 μl |
|||
HASIL
Isolasi materi genetik untuk kelompok virus RNA
Materi genetik RNA baik dari virus standard maupun sampel lapangan berhasil diisolasi dengan menggunakan kit RNeasy Mini Kit (Qiagen) maupun QIAamp® Viral Mini Kit (Qiagen). Permasalahan yang dihadapi adalah template RNA yang sudah diisolasi mudah terdegradasi akibat proses beku-cair. Selain itu, RNA juga dapat terdegradasi oleh RNAse yang banyak terdapat di lingkungan. Diduga terjadi degradasi templat RNA pada saat optimasi uji RT-PCR menggunakan kontrol positif. Akibatnya isolasi templat RNA harus dilakukan kembali jika kontrol positif tidak lagi memberikan hasil yang baik.
Optimasi uji RT-PCR individual untuk virus ND, AI dan IB
Uji RT-PCR untuk virus ND, AI dan IB telah dapat dilakukan dan dioptimasi dengan menggunakan kontrol positif. Identifikasi virus ND dilakukan dengan mengamplifikasi gen F sekitar 300 bp (Gambar 1A). Sementara itu, gen H5 sebagai identifikasi virus AI diamplifikasi pada ukuran sekitar 550 bp (Gambar 1B). Sementara itu, gen S1 virus IB berhasil diamplifikasi dengan hasil sekitar 1700 bp (Gambar 1C). Ketiga uji RT-PCR tersebut telah mempunyai profil suhu amplifikasi yang sama sehingga dapat dilanjutkan ke tahap platform multipleks.
Gambar 1. Uji RT-PCR untuk deteksi virus ND, AI dan IB. (A) Amplifikasi gen F, 300 bp (B) Amplifikasi gen H5, 550 bp, (C) Amplifikasi gen S1, 1700 bp.

Gambar 2. Optimasi uji mRT-PCR untuk deteksi virus ND, AI dan IB dengan antigen virus standard. |
||
| 1-2 = Antigen ND | 11-14 = Antigen ND dan IB | |
| 3-4 = Antigen AI | 15-18 = Antigen AI dan IB | |
| 5-6 = Antigen IB | 19-26 = Antigen ND, AI dan IB | |
| 7-10 = Antigen ND dan AI | ||
Optimasi uji mRT-PCR untuk virus ND, AI dan IB
Uji mRT-PCR untuk ND, AI dan IB berhasil dilakukan dengan baik dengan menggunakan kontrol positif (Gambar 2). Uji multipleks ini mampu mendeteksi keberadaan virus ND, AI maupun IB baik untuk satu jenis virus saja maupun secara bersamaan sekaligus dalam satu sampel. Ujicoba terhadap sampel lapangan masih sangat diperlukan untuk mengetahui efektivitas uji mRT-PCR terhadap berbagai kondisi sebenarnya terjadi di lapangan.
Aplikasi uji mRT-PCR pada sampel lapangan
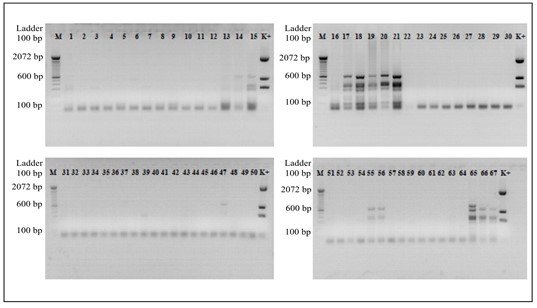
Hasil uji pada sampel lapangan menunjukkan bahwa 5 sampel terdeteksi mengandung virus ND dan 2 sampel terdeteksi virus AI (Tabel 3 dan Gambar 3). Terdapat 12 sampel yang terdeteksi mengandung campuran virus ND dan AI. Teridentifikasi pula hasil amplifikasi gen pada beberapa sampel menunjukkan pola band yang berbeda dibandingkan dengan kontrol positif seperti perbedaan ukuran ataupun adanya band tambahan. Sementara itu, uji mRT-PCR menunjukkan tidak adanya virus IB pada semua sampel lapangan yang diperiksa.
PEMBAHASAN
Peranan uji laboratorium sangat penting untuk menunjang manajemen kesehatan unggas terutama dalam peneguhan diagnosa penyakit (Morrow 2008). Identifikasi penyebab penyakit dengan pendekatan molekuler seperti PCR semakin banyak dikembangkan karena akurasinya yang tinggi (Viljoenet al. 2005). Berbagai macam uji PCR untuk deteksi berbagai penyakit virus telah dikembangkan, namun karena biaya PCR dianggap masih terlalu mahal maka perlu dilakukan modifikasi dengan platform multipleks. Tujuannya adalah untuk mengidentifikasi beberapa virus secara sekaligus sehingga lebih menghemat waktu dan biaya.
Penelitian ini telah berhasil mengembangkan uji mRT-PCR untuk tiga jenis virus yang sering menyerang unggas di lapangan yaitu ND, AI dan IB. Optimasi dengan virus standard dapat membedakan ketiga virus tersebut berdasarkan ukuran amplifikasi gen target yaitu gen F (virus ND) pada 300 bp, gen H5 (virus AI) pada 550 bp dan gen S1 (virus IB) pada 1700 bp. Uji mRT-PCR ini mendeteksi keberadaan virus-virus yang ditargetkan baik secara individu maupun bersama-sama tanpa ada amplifikasi silang diantara gen-gen yang ditargetkan. Beberapa penelitian multiplek PCR terdahulu juga berhasil dikembangkan untuk beberapa virus pada unggas. Uji multipleks PCR umumnya ditujukan untuk tiga kombinasi jenis virus saja, seperti ND-AI-gumboro (Haryantoet al. 2013) dan ND-AI-pneumovirus (Maliket al. 2004). Deteksi empat marker gen atau lebih juga pernah dilakukan namun diperlukan volume reagent dua kali lipat lebih banyak yaitu 50 ul untuk setiap reaksi sehingga uji multipleks menjadi tidak ekonomis lagi (Xieet al. 2006; Huang dan Wang, 2008; Rashidet al. 2009).
Gambar 3. Ujicoba mRT-PCR untuk virus ND, AI dan IB pada sampel lapangan asal kabupaten Sukabumi.
Tabel 3. Hasil identifikasi uji mRT-PCR untuk deteksi virus ND, AI dan IB pada sampel lapangan asal Kabupaten Sukabumi yang dikoleksi pada bulan Maret 2013
No |
Jenis sampel |
Asal sampel |
Hasil PCR |
No |
Jenis sampel |
Asal Sampel |
Hasil PCR |
1 |
Swab kloaka |
Layer 14 minggu |
ND |
25 |
Swab kloaka |
Arab 22 mgg |
Negatif |
2 |
Swab kloaka |
Layer 14 minggu |
Negatif |
26 |
Swab kloaka |
Arab 22 mgg |
Negatif |
3 |
Swab kloaka |
Layer 14 minggu |
ND |
27 |
Swab kloaka |
Arab 22 mgg |
Negatif |
4 |
Swab kloaka |
Layer 8 minggu |
Negatif |
28 |
Swab kloaka |
Broiler |
Negatif |
5 |
Swab kloaka |
Layer 8 minggu |
Negatif |
29 |
Swab kloaka |
Broiler |
Negatif |
6 |
Swab kloaka |
Layer 8 minggu |
Negatif |
30 |
Swab kloaka |
Broiler |
Negatif |
7 |
Swab kloaka |
Layer |
Negatif |
31 |
Swab kloaka |
Broiler |
Negatif |
8 |
Swab kloaka |
Layer |
Negatif |
32 |
Swab kloaka |
Broiler |
Negatif |
9 |
Swab kloaka |
Layer |
Negatif |
33 |
Swab kloaka |
Broiler |
Negatif |
10 |
Swab kloaka |
Layer pejantan |
Negatif |
34 |
Swab kloaka |
Broiler |
Negatif |
11 |
Swab kloaka |
Layer pejantan |
Negatif |
45 |
Swab kloaka |
Layer 40 mgg |
Negatif |
12 |
Swab kloaka |
Layer pejantan |
Negatif |
46 |
Swab kloaka |
Layer 40 mgg |
Negatif |
13 |
C. tonsil |
Layer pejantan |
ND |
47 |
Swab kloaka |
Layer 24 mgg |
AI |
14 |
Paru-paru dan trakea |
Layer pejantan |
AI |
48 |
Swab kloaka |
Layer 24 mgg |
Negatif |
15 |
Proventriculus |
Layer pejantan |
ND, AI |
49 |
Swab kloaka |
Layer 24 mgg |
Negatif |
16 |
C. tonsil |
Layer pejantan |
ND |
50 |
Swab kloaka |
Layer 60 mgg |
Negatif |
17 |
Paru-paru dan trakea |
Layer pejantan |
ND, AI |
51 |
Swab kloaka |
Layer 60 mgg |
Negatif |
18 |
Proventriculus |
Layer pejantan |
ND, AI |
52 |
Swab kloaka |
Layer 60 mgg |
Negatif |
19 |
C. tonsil |
Layer pejantan |
ND, AI |
53 |
Swab kloaka |
Layer 40 mgg |
Negatif |
20 |
Paru-paru dan trakea |
Layer pejantan |
ND, AI |
54 |
Swab kloaka |
Layer 40 mgg |
Negatif |
21 |
Proventriculus |
Layer pejantan |
ND, AI |
55 |
Swab kloaka |
Layer 40 mgg |
ND, AI |
22 |
Swab kloaka |
Kampung breeding |
Negatif |
56 |
Swab kloaka |
Kampung 8 bln |
ND, AI |
23 |
Swab kloaka |
Kampung breeding |
Negatif |
57 |
Swab kloaka |
Kampung 8 bln |
Negatif |
24 |
Swab kloaka |
Kampung breeding |
Negatif |
58 |
Swab kloaka |
Kampung 8 bln |
Negatif |
59 |
Swab kloaka |
Kampung 4 bulan |
Negatif |
64 |
Swab kloaka |
Kampung 18 bln |
Negatif |
60 |
Swab kloaka |
Kampung 4 bulan |
Negatif |
65 |
C. tonsil |
Kampung |
ND, AI |
61 |
Swab kloaka |
Kampung 4 bulan |
Negatif |
66 |
Paru-paru dan trakea |
Kampung |
ND, AI |
62 |
Swab kloaka |
Kampung 18 bulan |
Negatif |
67 |
Proventriculus |
Kampung |
ND, AI |
63 |
Swab kloaka |
Kampung 18 bulan |
Negatif |
68 |
Kontrol positif |
PWT,RIVS,PTS3 |
ND, AI, IB |
Selain itu, penelitian Huang dan Wang (2008) serta Rashidet al. (2009) terdapat virus infectious laryngothracheitis (ILT) dari kelompok virus DNA sebagai salah satu virus yang dideteksi. Deteksi untuk kelompok virus DNA lebih baik dikembangkan secara terpisah karena proses ekstraksi material genetik dari kelompok virus RNA dan DNA sangat berbeda. Terlebih lagi kontaminasi DNA juga dapat menyebabkan templat RNA lebih mudah terdegradasi.
Lebih lanjut, sebagian besar protokol uji mRT-PCR yang telah dikembangkan pada umumnya hanya dioptimasi dengan menggunakan virus standar pada level laboratorium. Sebagai konsekuensinya, efektivitas uji terhadap sampel lapangan masih dipertanyakan karena kondisi lapangan mungkin akan sangat berbeda dengan kondisi laboratorium. Aplikasi uji mRT-PCR untuk virus ND, AI dan IB pada penelitian ini pada 67 sampel lapangan mampu mendeteksi keberadaan virus ND dan AI (tunggal dan campuran) namun tidak untuk virus IB. Virus IB tidak dapat terdeteksi kemungkinan karena tidak adanya infeksi virus pada sampel yang diperiksa. Namun keberadaan virus bisa saja tidak terdeteksi karena rendahnya konsentrasi virus pada sampel lapangan. Meskipun swab trakea lebih ideal untuk mendeteksi virus IB namun swab kloaka seharusnya juga dapat dipergunakan karena infeksi virus juga terjadi pada organ reproduksi dan ginjal (Gelb dan Jackwood 1998; Van den Berg 2008). Lebih lanjut penelitian Meiret al. (2010) mampu mendeteksi virus IB dengan uji PCR baik pada swab trakea maupun kloaka pada uji klinis lapangan. Para peneliti tersebut menduga kemungkinan adanya faktor inhibitor yang dapat menghambat uji PCR. Sementara itu, Huang dan Wang (2008) mampu mendeteksi keberadaan virus ND, AI, IB dan ILT pada sampel lapangan dengan menggunakan mRT-PCR yang mereka dikembangkan. Namun hasil isolasi menunjukkan fakta menarik dimana virus yang berhasil diisolasi bisa berbeda maupun bertambah jenisnya dibandingkan dengan hasil mRT-PCR. Fakta tersebut diatas menunjukkan bahwa faktor kondisi lapangan tidak dapat diprediksi dengan mudah.
Pada penelitian mRT-PCR yang sedang dikembangkan, beberapa hasil amplifikasi gen virus ND dan AI pada sampel lapangan menunjukkan pola band yang berbeda dibandingkan dengan standard seperti perbedaan ukuran ataupun adanya band tambahan. Perbedaan ini mungkin disebabkan oleh perbedaan genetik antara strain virus lapangan dengan strain antigen strandard. Kelompok virus RNA seperti ND dan AI sangat mudah bermutasi secara genetik sehingga hasil amplifikasi dapat berbeda ataupun bahkan tidak terdeteksi (Dharmayanti 2009; Milleret al. 2010). Permasalahan lain mungkin timbul karena penggunaan vaksin hidup seperti ND yang sangat intensif pada industri perunggasan. Strain vaksin kemungkinan terdeteksi oleh uji mRT-PCR yang dapat dikelirukan dengan kasus lapangan (Huang dan Wang 2008). Jika diperlukan maka analisis lanjutan terhadap hasil uji mRT-PCR dapat dilanjutkan dengan isolasi virus maupun sekuensing pada marker gen yang tepat sehingga didapatkan hasil yang lebih komprehensif.
KESIMPULAN
Pengembangan uji mRT-PCR untuk deteksi tiga virus penting dari kelompok RNA pada unggas yaitu penyakit Newcastle Disease, Avian Influenza, dan Infectious Bronchitis telah berhasil dilakukan dan dioptimasi. Aplikasi uji multipleks untuk sampel lapangan asal Kabupaten Sukabumi mampu mendeteksi beberapa virus yang ditargetkan. Harapan kedepannya uji mRT-PCR ini akan cocok dijadikan sebagai uji penapis (skrining) terutama untuk mengerjakan sampel dalam jumlah besar.
DAFTAR PUSTAKA
Alexander DJ, Jones RC. 2008. Paramyxoviridae. In: Mark P, Paul FM, Janet MB, Dennis JA, editors. Poultry diseases. 9th ed. Edinburgh: Saunders WB. p. 294-316.
Damayanti R, Dharmayanti NLPI, Indriani R, Wiyono A, Darminto. 2004a. Deteksi virus avian influenza subtipe H5N1 pada organ ayam yang terserang flu burung sangat patogenik di Jawa Timur dan Jawa Barat dengan teknik imunohistokimia. JITV. 9:202-208.
Damayanti R, Dharmayanti NLPI, Indriani R, Wiyono A, Darminto. 2004b. Gambaran klinis dan patologis ayam yang terserang flu burung sangat patogenik (HPAI) di beberapa peternakan di Jawa Timur dan Jawa Barat. JITV. 9:128-135.
Dharmayanti NLPI. 2005. Analisis fragmen gen HA1 virus avian influenza yang menginfeksi sebuah breeding farm pada awal tahun 2004 dan 2005 di kabupaten Sukabumi. J Mikrobiol Indones. 10:86-90.
Dharmayanti NLPI. 2009. Perubahan genoma virus avian influenza subtipe H5N1 pada unggas di Indonesia (disertasi S3). [Jakarta (Indones)]: Universitas Indonesia.
Dharmayanti NLPI, Damayanti R, Wiyono A, Indriani R, Darminto. 2004. Identifikasi virus avian influenza isolat Indonesia dengan reserve transcriptase-polymerase chain reaction (RT- PCR). JITV. 9:136-142.
Gelb J, Jackwood M. 1998. Infectious bronchitis. In: Swayne, DE, Glisson JR, Jackwood MW, Pearson JE, Reed WM, editors. A Laboratory Manual for the Isolation and Identification of avian pathogens. 4th ed. Pennsylvania: American Association of Avian Pathologist, Inc. p. 169-174.
Gohm DS, Thür B, Hofmann MA. 2000. Detection of Newcastle disease virus in organs and faeces of experimentally infected chickens using RT-PCR. Avian Pathol. 29:143-152.
Haryanto A, Irianingsih SH, Yudianingtyas DW, Wijayanti N, Budipitojo T. 2013. Single step multiplex RT-PCR for detection and differential diagnosis of avian influenza, newcastle disease and infectious bursal disease viruses in chicken. Int Res J Biotechnol.4:34-39.
Huang YP, Wang CH. 2008. Development and application of a multiplex reverse transcription-polymerase chain reaction for avian viral respiratory agents. Taiwan Vet J. 1:8-18.
Jackwood MW, Yousef NM, Hilt DA. 1997. Further development and use of a molecular serotype identification test for infectious bronchitis virus. Avian Dis. 41:105-110.
Lee CW, Hilt DA, Jackwood MW. 2000. Redesign of primers and application of the reverse transcriptase-polymerase chain reaction and restriction fragment length polymorphism test to the DE072 strain of infectious bronchitis virus. Avian Dis. 44:650-654.
Lee MS, Chang PC, Shien JH, Cheng MC, Shieh HK. 2001. Identification and subtyping of avian influenza viruses by reverse transcription-PCR. J Virol Methods. 97:13-22.
Malik YS, Patnayak DP, Goyal SM. 2004. Detection of three avian respiratory viruses by single-tube multiplex reverse transcription-polymerase chain reaction assay. J Vet Diagn Invest. 16:244-248.
McLeod A. 2008. The economics of avian influenza. In: Swayne DE, editor. Avian influenza. Ames (IA): Blackwell Publishing. p. 537-560.
Meir R, Maharat O, Farnushi Y, Simanov L. 2010. Development of a real-time TaqMan® RT-PCR assay for the detection of infectious bronchitis virus in chickens, and comparison of RT-PCR and virus isolation. J Methods. 163:190-194.
Miller PJ, Decanini EL, Afonso CL. 2010. Newcastle disease: Evolution of genotypes and the related diagnostic challenges. Infect Genet Evol. 10:26-35.
Morrow C. 2008. Laboratory investigation to support health programmes and disease diagnosis. In: Mark P, Paul FM, Janet MB, Dennis JA, editors. Poultry diseases. 9th ed. Edinburgh (UK): Saunders WB. p. 39-47.
Rashid S, Naeem K, Ahmed Z, Saddique N, Abbas MA, MalikSA. 2009. Multiplex polymerase chain reaction for the detection and differentiation of avian influenza viruses and other poultry respiratory pathogens. Poult Sci. 88:2526-2531.
Stäuber N, Brechtbühl K, Bruckner L, Hofmann MA. 1995. Detection of Newcastle disease virus in poultry vaccines using the polymerase chain reaction and direct sequencing amplified DNA. Vaccine. 13:360-364.
Suarez DL 2008. Influenza A virus In: Swayne DE, editor. Avian influenza. Ames (IA): Blackwell Publishing. p. 3-22.
Swayne DE, Patin-Jackwood M. 2008. Pathobiology of avian influenza virus infection in birds and mammals. In: Swayne DE, editor. Avian influenza. Ames (IA): Blackwell Publishing. p. 87-122.
Tarmudji. 2005. Penyakit pernafasan pada ayam, ditinjau dari aspek klinik dan patologik serta kejadiannya di Indonesia. Wartazoa. 15:72-83.
Van den Berg, T. 2008. Birnaviridae. In: Mark P, Paul FM, Janet MB, Dennis JA, editors. Poultry diseases. 9th ed. Edinburgh (UK): Saunders WB. p. 359-366.
Viljoen GJ, LH Nel, JR. Crowther. 2005. Molecular diagnostic PCR handbook. Dordrecht. Springer.
Webster RG. 2002. The importance of animal influenza for human disease. Vaccine. 20:S16-S20.
Wiyono A, Indriani R, Dharmayanti NLPI, Damayanti R, Darminto 2004. Isolasi dan karakterisasi virus highly pathogenic avian influenza subtipe H5 dari ayam asal wabah di Indonesia. JITV. 9:61-71.
Xie Z, Pang Y, Liu J, Deng X, Tang X, Sun J, Khan MI. 2006. A multiplex RT-PCR for detection of type A influenza virus and differentiation of avian H5, H7, and H9 hemagglutinin subtypes. Mol Cell Probes. 20:245-249.
Tweet
Refbacks
- There are currently no refbacks.

This work is licensed under a Creative Commons Attribution 4.0 International License.






























